
Gout, typically found in diabetic patients, is an unusually painful form of arthritis caused by elevated levels of uric acid in the bloodstream. The condition typically strikes the big joint on the big toe. It has also been known to strike the knees, elbows, fingers, ankles and wrists—generally anywhere that has a functioning, moving joint.
The high level of uric acid in a person’s bloodstream creates the condition known as hyperuricema—the main cause of gout. Genetic predisposition occurs in nine out of ten sufferers. The children of parents who suffer gout will have a two in ten chance of developing the condition as well.
This form of arthritis, being particularly painful, is the leftover uric acid crystallizing in the blood stream. The crystallized uric acid then travels to the space between joints where they rub, causing friction when the patient moves. Symptoms include: pain, redness, swelling, and inflammation. Additional side effects may include fatigue and fever, although reports of these effects are very rare. Some patients have reported that pain may intensify when the temperature drops, such as when you sleep.
Most cases of gout are easily diagnosed by a podiatrist’s assessment of the various symptoms. Defined tests can also be performed. A blood test to detect elevated levels of uric acid is often used as well as an x-ray to diagnose visible and chronic gout.
Treatment for gout simply means eliminating symptoms. Non-steroid anti-inflammatory drugs or NSAIDs (Colchicine and other corticosteroid drugs, etc.) will quell the redness, the swelling, and the inflammation. However, managing your diet, lifestyle changes, and using preventative drugs are all helpful toward fully combating the most severe cases.
Those that lead an inactive lifestyle are at a higher risk for gout. Any amount of exercise decreases the probability of repeat encounters with the condition. Reducing your consumption of red meat, sea food, and fructose-sweetened drinks also reduces the likelihood of chronic gout as well.
Ingesting Vitamin C, coffee, and particular dairy products can help with maintaining a healthy lifestyle. There are new drugs out on the market that inhibit the body’s production of uric acid-producing enzymes. However, reducing or eliminating your overall levels of uric acid is the best remedy to ensuring you lead a gout-free life.
When you stretch the rest of your body, your feet can seem like an afterthought. However, there are many benefits to stretching your feet. Did you know that keeping your feet strong and flexible can prevent pain and injuries? Exercises that increase foot flexibility can improve the range of motion in your feet, making it easier to walk, run, stand, and exercise. Strengthening exercises improve the health of your foot muscles, allowing them to provide stronger support and protection to the feet as a whole. Most foot stretches are simple, usually requiring very little time and special equipment. To learn more about stretching your feet, please consult with a podiatrist.
Stretching the feet is a great way to prevent injuries. If you have any concerns with your feet consult with Massimo Pietrantoni, DPM from Rochester Podiatry, LLP. Our doctor will assess your condition and provide you with quality foot and ankle treatment.
Stretching the Feet
Stretching the muscles in the foot is an important part in any physical activity. Feet that are tight can lead to less flexibility and make you more prone to injury. One of the most common forms of foot pain, plantar fasciitis, can be stretched out to help ease the pain. Stretching can not only ease pain from plantar fasciitis but also prevent it as well. However, it is important to see a podiatrist first if stretching is right for you. Podiatrists can also recommend other ways to stretch your feet. Once you know whether stretching is right for you, here are some excellent stretches you can do.
It is best to go easy when first stretching your foot and work your way up. If your foot starts hurting, stop exercising and ice and rest the foot. It is advised to then see a podiatrist for help.
If you have any questions, please feel free to contact one of our offices located in Brighton, NY . We offer the newest diagnostic and treatment technologies for all your foot care needs.
Your feet endure a great amount of stress each day from constantly allowing us to move around. It is important to stretch your feet to help prevent them from becoming injured. Your toes may easily deform into unhealthful positions if they are not stretched.
One of the most common reasons for toe deformities are the shoes you may be wearing. Shoes that are too tight may fold and shift the toes out of place. Heeled shoes may also push your toes upward. Forcing your toes into an unnatural position which may cause the muscles to tighten and prevent them from reverting to normal length. Another common reason is improper use of foot muscles. Many people fail to use the muscles in their feet or toes when they walk. Lastly, the positioning of your feet while walking may also cause toe deformities. If you walk with your feet facing outward, your “push-off” phase is on the side of your big toe instead of the bottom of your foot. This may cause the big toe to eventually tighten into a new shifted position.
There are many reasons why stretching your toes may be helpful. One reason is that healthy spacing may aid in avoiding calluses and other injuries that are caused by rubbing. Stretching will also prevent you from developing toes that curl, hammertoes, or bunions.
A great way to stretch your toes is to place them in your hands and bend them all downward; this will help you stretch the top of your foot. Next, you should repeat this process but instead bend them upward enough to feel a nice stretch in the bottom of your foot. You should then try to pull each toe apart from the next and pull any toes that are bent upward until they are back downward.
If you are looking to practice stretching your entire foot, you can try a towel stretch. This is done by sitting on the floor with your legs in front of you. Take a towel and wrap it around your toes. Afterward, pull the towel toward you with your toes and hold this position for 15 to 30 seconds before releasing. Practice this stretch for three sets. Another stretch your feet are towel lifts. This is done by sitting in a chair and trying to pick a towel up from the ground with your toes. Try lifting the towel with your little toes for five sets before switching feet.
If you are an athlete, or exercise often, it is especially important for you to practice stretching your feet. Those who suffer from foot pain caused by poor footwear, plantar fasciitis, or long hours of standing at work may also benefit from foot exercises.
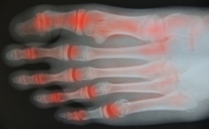
The synovial membrane is the protective tissue that surrounds joints such as the ankle. Rheumatoid arthritis is an auto-immune disease in which the body attacks this tissue causing it to become swollen and filled with fluid. Over time, this fluid can break the ankle joint down, causing it to become misaligned, deformed, and stiff. Other symptoms include ankle pain, fatigue, and fever. If the inflammation of rheumatoid arthritis goes unchecked, it may affect other parts of the body and lead to other diseases. While genetics can make you more predisposed to infections that may bring on rheumatoid arthritis, smoking, old age, and obesity may also increase your risks of contracting this disease. If you have pain in your ankles due to rheumatoid arthritis, a podiatrist may treat you with medications, physical therapy, orthotics, steroid injections or, in worst case scenarios, surgery to increase stability, reduce pain, and restore mobility in the ankles.
Because RA affects more than just your joints, including the joints in your feet and ankles, it is important to seek early diagnosis from your podiatrist if you feel like the pain in your feet might be caused by RA. For more information, contact Massimo Pietrantoni, DPM of Rochester Podiatry, LLP. Our doctor will assist you with all of your podiatric concerns.
What Is Rheumatoid Arthritis?
Rheumatoid Arthritis (RA) is an autoimmune disorder in which the body’s own immune system attacks the membranes surrounding the joints. Inflammation of the lining and eventually the destruction of the joint’s cartilage and bone occur, causing severe pain and immobility.
Rheumatoid Arthritis of the Feet
Although RA usually attacks multiple bones and joints throughout the entire body, almost 90 percent of cases result in pain in the foot or ankle area.
Symptoms
Diagnosis
Quick diagnosis of RA in the feet is important so that the podiatrist can treat the area effectively. Your doctor will ask you about your medical history, occupation, and lifestyle to determine the origin of the condition. Rheumatoid Factor tests help to determine if someone is affected by the disease.
If you have any questions please feel free to contact one of our offices located in Brighton, NY . We offer the newest diagnostic and treatment technologies for all your foot and ankle needs.
Although rheumatoid arthritis attacks multiple bones and joints throughout the entire body, ninety percent of people who actually develop this condition usually do so in the foot or ankle area. Those who develop this kind of arthritis in the feet usually develop symptoms around the toes and forefeet first, before anywhere else. Rheumatoid arthritis appears to have a genetic component. If it runs in the family, then you will be more likely to develop it as well.
Rheumatoid arthritis is an autoimmune disorder in which the body’s own immune system attacks the lining of the membranes surrounding the joints. This causes inflammation of the membrane lining, and the gradual destruction of the joint’s cartilage and even bone.
Some of the most common symptoms that are associated with RA include pain and swelling of the feet. Stiffness in the feet is also another common symptom that people experience. Those who have RA in the feet usually feel the pain in the ball or sole of their feet. This can get to be very painful at times. A person's joints can even shift and become deformed after a period of time.
In order to properly diagnose RA in the feet it is usually necessary for a doctor or podiatrist to evaluate the area. Your doctor will also question you about your medical history, occupation, etc., to determine whether anything in your lifestyle may have triggered the condition. There are a number of tests that may be performed to help diagnose RA, such as a rheumatoid factor test. There is, however, no one single test that will tell you for sure if you have RA. There are different X-rays that can be taken as well to determine if a person has RA in their feet.
There is a range of treatment options for rheumatoid arthritis. Treatment of RA is usually a lifelong process that includes a variety of methods of treatment and therapy. Your doctor can prescribe special shoes that should help with arch support as well as heel support. A physical therapist can help those with this condition learn exercises which will keep their joints flexible. Surgery may be needed to correct some of the issues with the feet, such as bunions, and hammertoes. Fusion is usually the most successful surgical option for rheumatoid arthritis. However, people need to keep in mind that there are some risks associated with these surgeries.
Many people associate arthritis with aging and the elderly. While it is true that certain types of arthritis, such as osteoarthritis, are most often seen in older adults, arthritis is not exclusively a disease of aging. Nearly 300,000 children and teens in the United States alone have juvenile arthritis (JA). Rather than being just one disease, JA is an umbrella term for any type of arthritis that affects someone under the age of 16. The most common type of JA is idiopathic arthritis. This can cause symptoms such as pain, stiffness, redness, warmth, and swelling around the joints. The small joints of the feet are often affected. It is suggested that children with JA visit a podiatrist regularly to monitor and maintain the health of their foot and ankle joints.
Arthritis can be a difficult condition to live with. If you are seeking treatment, contact Massimo Pietrantoni, DPM from Rochester Podiatry, LLP. Our doctor can provide the care you need to keep you pain-free and on your feet.
Arthritic Foot Care
Arthritis is a term that is commonly used to describe joint pain. The condition itself can occur to anyone of any age, race, or gender, and there are over 100 types of it. Nevertheless, arthritis is more commonly found in women compared to men, and it is also more prevalent in those who are overweight. The causes of arthritis vary depending on which type of arthritis you have. Osteoarthritis for example, is often caused by injury, while rheumatoid arthritis is caused by a misdirected immune system.
Symptoms
Arthritic symptoms range in severity, and they may come and go. Some symptoms stay the same for several years but could potentially get worse with time. Severe cases of arthritis can prevent its sufferers from performing daily activities and make walking difficult.
Risk Factors
If you suspect your arthritis is affecting your feet, it is crucial that you see a podiatrist immediately. Your doctor will be able to address your specific case and help you decide which treatment method is best for you.
If you have any questions please feel free to contact one of our offices located in Brighton, NY . We offer the newest diagnostic tools and technology to treat your foot and ankle needs.
During your lifetime, you will probably walk about 75,000 miles, which is quite a lot of stress to put on your feet. As you get older, the 26 bones and 30 joints in each of your feet will lose flexibility and elasticity. Your foot’s natural shock absorbers will wear down as well. Having arthritis added to this mix only makes matters worse. Your joints will become distorted and inflamed, which is why arthritic foot care needs to be something to think about every day.
When dealing with arthritis, having additional foot complications, such as bunions, hammertoes, or neuroma, can be a serious detriment. To avoid these, buy well-fitting shoes with a lower heel and good support. Arthritis causes you to lose your arch, so having shoes with good arch support is also highly recommended.
Aside from getting good arch support, the shoes need to fit comfortably and properly as well. A good place to start is by leaving a finger width between the back of the shoe and your foot to gauge proper size. It is also helpful to have a square or rounded toe box in the front to provide even more comfort. Another thing to look for is a rubber sole that can provide a cushion and absorb shock as you walk. This adds flexibility to the ball of your foot when you push off your heel to walk.
Exercise is another key aspect of arthritic foot care. Exercise not only strengthens and stretches your muscles and joints, but helps to prevent further injury and pain as well. Stretching the Achilles tendon, the tendon located in the back of your heel, will give you added mobility and reduce pain due to stress. Another thing you can do is massage your feet, kneading the ball of your foot as well as your toes from top to bottom.
Stretching the Achilles tendon is a simple exercise that you can do at home anytime. Lean against the wall with your palms flat against the surface while placing one foot forward, towards the wall, and one foot behind you. Bend your forward knee towards the wall while keeping your back knee locked straight, and make sure both your heels are completely touching the ground at all times. This will stretch your Achilles tendon and calf muscles as well. You will feel the stretch almost immediately. You can also stretch your toes in a couple ways. One involves taking a rubber band and wrapping it around both your big toes while your heels remain together. Then, pull them apart to stretch your big toe. You can also place a rubber band around all the toes of one of your feet. Then, try to separate each individual toe, stretching them all.
A final step you can take to help your arthritis is taking non-steroid, non-inflammatory drugs or topical medicines with capsaicin. Unfortunately, there is no complete way to remove all of your arthritic pain. However, following some of this advice can go a long way in staying as pain-free as possible.
If you are experiencing numbness, tingling, and an inability to feel temperature changes in your feet and toes, you may have a condition known as peripheral neuropathy. It is typically caused by damage to the motor, sensory, and autonomic nerves. Luckily, a number of home treatments can reduce symptoms of peripheral neuropathy. Among them are taking Vitamins B and D, increasing exercise, and taking a warm bath. Keeping blood sugar within a normal range also may prevent neuropathy from worsening. While these remedies may be helpful, it is suggested to consult with a podiatrist for further treatment methods.
Neuropathy
Neuropathy can be a potentially serious condition, especially if it is left undiagnosed. If you have any concerns that you may be experiencing nerve loss in your feet, consult with Massimo Pietrantoni, DPM from Rochester Podiatry, LLP. Our doctor will assess your condition and provide you with quality foot and ankle treatment for neuropathy.
What Is Neuropathy?
Neuropathy is a condition that leads to damage to the nerves in the body. Peripheral neuropathy, or neuropathy that affects your peripheral nervous system, usually occurs in the feet. Neuropathy can be triggered by a number of different causes. Such causes include diabetes, infections, cancers, disorders, and toxic substances.
Symptoms of Neuropathy Include:
Those with diabetes are at serious risk due to being unable to feel an ulcer on their feet. Diabetics usually also suffer from poor blood circulation. This can lead to the wound not healing, infections occurring, and the limb may have to be amputated.
Treatment
To treat neuropathy in the foot, podiatrists will first diagnose the cause of the neuropathy. Figuring out the underlying cause of the neuropathy will allow the podiatrist to prescribe the best treatment, whether it be caused by diabetes, toxic substance exposure, infection, etc. If the nerve has not died, then it’s possible that sensation may be able to return to the foot.
Pain medication may be issued for pain. Electrical nerve stimulation can be used to stimulate nerves. If the neuropathy is caused from pressure on the nerves, then surgery may be necessary.
If you have any questions, please feel free to contact one of our offices located in Brighton, NY . We offer the newest diagnostic and treatment technologies for all your foot care needs.
Neuropathy is the weakness, numbness, and pain in the hands and feet due to damage to the peripheral nerves. The peripheral nerves are responsible for sending information from the brain and spinal cord to the rest of your body. Causes of Neuropathy include: traumatic injuries, infections, metabolic problems, exposure to toxins, and diabetes.
Diabetes is the most common cause, with more than half of the diabetic population developing some type of neuropathy. There are several types of neuropathy and they vary based on the damage of the nerves. Mononeuropathy is classified as only one nerve being damaged. When multiple nerves are affected, it is referred as polyneuropathy. One of the types of polyneuropathy is distal symmetric polyneuropathy. It is the most common for people with diabetes and starts when the nerves furthest away from the central nervous begin to malfunction. The symptoms begin with pain and numbness in the feet and then they travel up to the legs. A rarer form of polyneuropathy is acute symmetrical peripheral neuropathy, which is a severe type that affects nerves throughout the body and is highly associated with Guillain-Barre syndrome, an autoimmune disorder that attacks the peripheral nervous system and can be fatal. Although there are many types of neuropathy, most of them share the same symptoms such as pain, extreme sensitivity to touch, lack of coordination, muscle weakness, dizziness, and digestive problems. Since neuropathy affects the nerves, those affected should be careful of burns, infection and falling, as depleted sensations disguise such ailments.
The best way to prevent neuropathy is to manage any medical conditions such as diabetes, alcoholism, or rheumatoid arthritis. Creating and managing a healthy lifestyle can also go a long way. Having a healthy diet full of fruits, vegetables, whole grains and lean protein can keep the nerves healthy. These types of food have the nutrients to prevent neuropathy. Regularly exercising can help as well, but it is best to consult with a doctor about the right amount. In addition to diet and exercise, avoiding risk factors will also prevent neuropathy. This includes repetitive motions, cramped positions, exposure to toxic chemicals, smoking and overindulging on alcohol.